YAŞAM / SAĞLIK
YAŞAM / SAĞLIK HaberleriProstat kanserinin ileri evrelerindeki kemik tehlikesiyle uzman önerileri
Prostat kanserinin ileri evrelerindeki kemik tehlikesiyle uzman önerileri
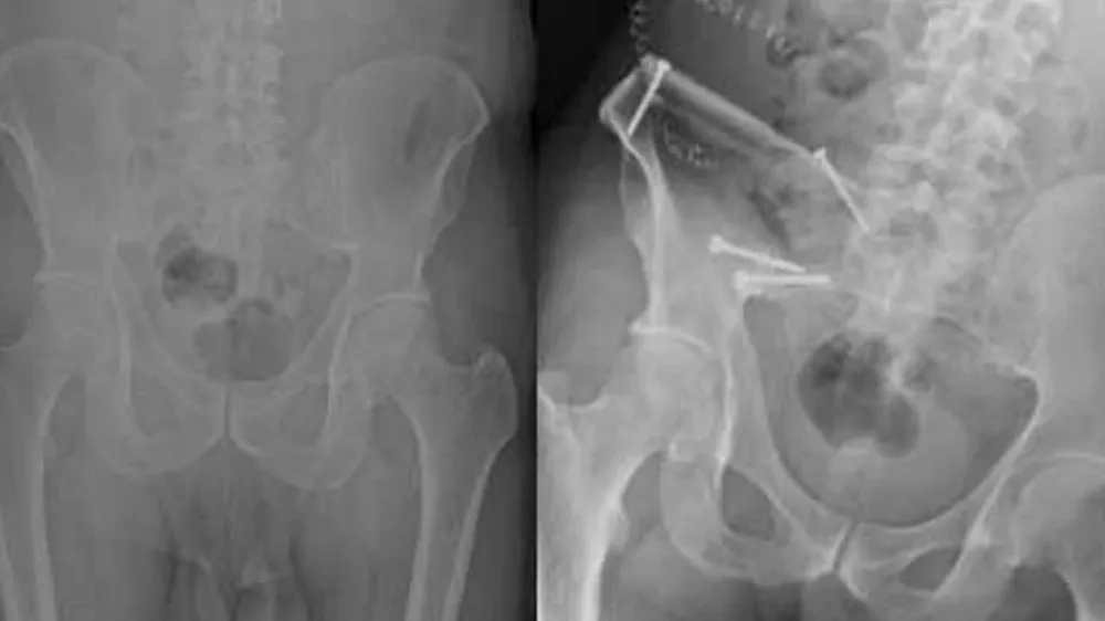
Prostat kanserinin ileri evrelerinde görülen kemik metastazları, iskelet sisteminde geri dönülemez hasarlara ve ani kırılmalara yol açtı. Uzmanlar, geçmeyen eklem ağrılarının kanserin yayılma belirtisi olabileceği konusunda kritik uyarılarda bulundu.
Prostat kanseri, erkeklerde en sık görülen kanser türlerinden biri olmaya devam ederken, hastalığın ilerleyen evrelerinde en çok hedef aldığı bölgelerin başında iskelet sistemi geldiği saptandı.
Onkoloji dünyasında yapılan son araştırmalar, prostat kanseri tanısı alan hastaların önemli bir kısmında kanser hücrelerinin kemik dokusuna göç ettiğini ve burada yeni odaklar oluşturduğunu kanıtladı.
Uzmanlar, özellikle bel, kalça ve sırt bölgelerinde yoğunlaşan kronik ağrıların basit birer yorgunluk belirtisi olmadığını, aksine kanserin kemiğe sıçramasının (metastaz) bir işareti olabileceğini bildirdi.
Prostat kanserinde erken teşhisin hayati önem taşıdığını vurgulayan uzmanlar, geçmeyen kemik ağrılarının hastalığın yayılma belirtisi olabileceği konusunda uyardı.
Kemik yapısını zayıflatan bu sürecin, geri dönülemez kırıklara ve hareket kısıtlılığına yol açabileceği kaydedildi.
BİLİMSEL ARAŞTIRMALAR VE KLİNİK VERİLER
New England Journal of Medicine'de yayımlanan geniş kapsamlı çalışmalar, prostat kanseri hücrelerinin kemik iliğindeki mikro çevreyle özel bir etkileşime girdiğini ortaya koydu. Bu etkileşim sonucunda kemiklerin normal yıkım ve yapım dengesinin bozulduğu, kemiğin yapısal bütünlüğünü kaybettiği belirlendi.
Metastatik prostat kanseri vakalarında görülen "patolojik kırıklar", hastaların yaşam kalitesini ciddi oranda düşürürken, tedavi süreçlerini de daha karmaşık hale getirdi.
ULUSLARARASI UZMAN GÖRÜŞLERİ
Konuyla ilgili değerlendirmelerde bulunan Londra Kanser Araştırma Enstitüsü'nden Prof. Dr. Johann de Bono, metastatik süreçlerin sinsi ilerleyişine dikkat çekti.
Bono, "Kanser hücreleri kemiğe ulaştığında, kemiği içeriden zayıflatan bir süreç başlar. Hastalar genellikle bu durumu ciddi bir kırık yaşayana kadar fark etmeyebilirler. Bu nedenle, prostat kanseri geçmişi olan bireylerde iskelet sistemi hassasiyetle takip edilmelidir" şeklinde görüş bildirdi.
Harvard Tıp Fakültesi'nden Onkolog Dr. Philip Kantoff ise genetik faktörler ve kemik sağlığı arasındaki ilişkiyi vurguladı.
Kantoff, "Prostat kanserinin kemiğe yayılma eğilimi, bu kanser türünün biyolojik karakteristiğinde yatar. Modern görüntüleme teknikleri sayesinde artık bu yayılımı çok daha erken aşamalarda tespit edebiliyoruz; ancak ağrı ve hareket kaybı gibi semptomlar başladığında vakit kaybetmeden müdahale edilmesi şarttır" ifadelerini kullandı.
KOMPLİKASYONLAR VE RİSK YÖNETİMİ
Uzmanlar, kemiğe yayılan kanserin sadece ağrıya değil, aynı zamanda kandaki kalsiyum seviyelerinin tehlikeli biçimde yükselmesine (hiperkalsemi) ve omurilik basısına da yol açabileceğini aktardı. Bu durumun felç riskini beraberinde getirdiği ve hastaların hareket kabiliyetini tamamen ortadan kaldırabileceği vurgulandı.
Tedavi protokollerinde artık sadece tümörle değil, kemik sağlığını koruyucu ajanlarla da desteklenen bütüncül bir yaklaşımın benimsendiği ifade edildi.
Haber: Züleyha Öncü / Haber Merkezi


